Slezina je orgán, ktorý môže byť postihnutý rôznymi anomáliami a ochoreniami. Tieto stavy môžu byť vrodené alebo získané a môžu mať rôzne príčiny a prejavy. V tomto článku sa zameriame na posttraumatické pseudoaneuryzmy sleziny a ďalšie bežné anomálie tohto orgánu.

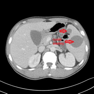
Posttraumatické pseudoaneuryzmy sleziny
Chronická aneuryzma je dlhotrvajúci a dynamicky sa rozvíjajúci lokalizovaný výčnelok stenčujúcej tkanivovej zóny srdcovej alebo cievnej steny. Chronická aneuryzma sa tvorí viac ako dva mesiace po vystavení spúšťaciemu faktoru, ako je trauma alebo infarkt myokardu.
Tieto anomálie súčasne s infekčnými komplikáciami vedu až do 90% mortality. Problém sa často zistí náhodne, počas ultrazvukového alebo röntgenového vyšetrenia. Ochorenie nie je liečiteľné konzervatívnymi metódami, takže keď sa objavia príznaky srdcového zlyhania alebo iné komplikácie, lekári nastoľujú otázku chirurgického zákroku. Vo všeobecnosti nie je prognóza patológie optimistická.
Ďalšie anomálie sleziny
Polysplénia - Ivemarkov syndróm
Polysplénia - Ivemarkov syndróm predstavuje trias, a to vrodenú srdcovú chybu, situs viscerum inversus a viaclaločnatú slezinu (až 9 segmentov).
Akcesórna slezina
Ide o jeden alebo viac uzlov tkaniva sleziny, ktoré sa môže vyskytovať u 20% populácie. Uzly makroskopicky pripomínajú skôr lymfatickú uzlinu.
Význam akcesórnej sleziny spočíva v možnosti rýchleho kompenzačného nárastu po splenektómii indikovanej pre hematologické ochorenie. Preto je dôležité odstrániť aj akcesórnu slezinu. Ide o ektopické tkanivo sleziny, ktoré je spojené s gonádami.
Môže vytvárať ružencovitý pruh slezinového tkaniva v priebehu od semenníka po hilus sleziny, alebo sa ektopické tkanivo vyskytuje samostatne v danej lokalite.
Benígne tumory
Benígne tumory sú raritné. Medzi nezhubné nádory patrí - hamartóm, hemangióm, adenóm a lipóm. Ak sú nádory symptomatické, je indikovaná parciálna splenektómia.
Parazitárne cysty
Parazitárne cysty - najčastejšie vznikajú echinokokové cysty (Echinococcus granulosus) v endemických oblastiach; diagnostika serologickým vyšetrením, USG alebo CT vyšetrením; liečba spočíva v enukleácii cysty, ev.

Blúdivá slezina
Podkladom blúdivej sleziny je porucha jej závesného aparátu, pričom slezina je uložená kdekoľvek v brušnej dutine, ktorá sa prejaví ako náhla príhoda brušná.
Splenomegália
Slezina reaguje svojim zväčšením na rôzne systémové infekčné ochorenia. Splenomegália je nešpecifickou reakciou na bakteriálnu, vírusovú alebo mykotickú infekciu.
Absces sleziny
Absces sleziny môže vzniknúť po úraze, pri bakterémii alebo pri imunosupresívnej terapii. Jeho následkom môže byť infarkt sleziny. Najčastším patogénom býva gramnegatívna flóra, prípadne stafylokoky (G+).
Malígne nádory
Klinický obraz sa pri malígnych nádoroch mení, v popredí je kachexia, anemizácia, ascites a bolesť. Diagnostika sa vykonáva pomocou USG vyšetrenia, CT vyšetrenia a exploratívnej laparotómie. Medzi primárne nádory patria sarkómy a karcinómy. Oba typy sú veľmi zriedkavé.
Chronická aneuryzma
Chronická aneuryzma je zväčšenie (vydutie) steny arteriálnej alebo venóznej cievy alebo srdca v dôsledku jej stenčenia alebo nadmerného roztiahnutia. Chronická aneuryzma sa nemusí prejavovať roky, pacient si existenciu problému často neuvedomuje.
Vo veľkej väčšine prípadov je príčinou vzniku chronickej aneuryzmy srdca transmurálny infarkt myokardu, ktorý doslova ničí štruktúru svalových vlákien. Nedodržiavanie pravidiel postinfarktového obdobia (prísny pokoj na lôžku, nedostatok pohybu), zvýšený krvný tlak, tachykardia, zhoršujúca sa angína pectoris súvisí s rozvojom komplikácií.
Výskyt vrodených aneuryziem aorty sa spája najmä s dedičnými ochoreniami, ako sú Marfanov, Erdheimov alebo Ehlersov-Danlosov syndróm, fibrózna dysplázia, deficit elastínu atď. Získaná chronická aneuryzma aorty môže byť postinflamačná (v dôsledku mykóz, syfilisu, pooperačných infekčných komplikácií), degeneratívna (aterosklerotická, pooperačná), traumatická (v dôsledku mechanického poškodenia cievy).
Okrem priameho defektu v cievnej stene sa na vzniku chronických aneuryziem podieľajú aj mechanické a hemodynamické faktory. Patologické vydutiny sa teda objavujú najmä v oblastiach funkčného stresu, zvýšenej záťaže a vysokej rýchlosti prietoku krvi, vystavenia sa kolísaniu pulzu. Vytvorená vydutina postupne zväčšuje svoj objem, keďže napätie v nej rastie v súlade s rozširovaním vnútorného priemeru.
Prietok krvi v lúmene aneuryzmy sa spomaľuje a dochádza k turbulencii. Menej ako polovica krvi vypĺňajúcej aneuryzmatický vak vstupuje do distálneho arteriálneho toku. Je to spôsobené obmedzenými turbulentnými mechanizmami a prítomnosťou multifokálnych trombov vo vaku.
Pri chronických aneuryzmách srdca sa tiež tvorí fibrózna bursa, ktorá pozostáva z troch vrstiev: endokardiálnej, intramurálnej a epikardiálnej. V endokardiálnej vrstve sa pozorujú fibrózne a hyalinizované prerasty.
Príznaky
Chronická aneuryzma srdca sa častejšie tvorí v postinfarktovom období: pacienti začínajú pociťovať nepríjemné pocity za hrudnou kosťou, srdce akoby „zamrzlo“, pravidelne ich obťažujú „návaly tepla“. Vyskytuje sa silná slabosť, dýchavičnosť, niekedy závraty.
Chronická aneuryzma ľavej komory je sprevádzaná ukladaním až 30 % šokového objemu krvi v dilatačnej dutine. V počiatočnom štádiu je nedostatočnosť srdcovej činnosti kompenzovaná palpitáciami. Postupne sa steny komôr rozširujú, zväčšujú sa všetky srdcové rozmery.
Chronická disekčná aneuryzma aorty je sprevádzaná príznakmi v súlade s lokalizáciou patologickej dilatácie. Mnohé takéto patológie spočiatku prebiehajú latentne alebo majú slabý klinický obraz, ale s rozvojom disekcie sa stav prudko zhoršuje, pozorujú sa príznaky charakteristické pre záchvat angíny pectoris.
Hlavnými prvými príznakmi sú akútna bolesť spojená s poškodením a natiahnutím steny aorty a/alebo kompresiou iných orgánov. Pri postihnutí brušného segmentu sa môžu vyskytnúť tráviace poruchy a niekedy je hmatateľná zvýšená pulzácia v brušnej dutine. Pri postihnutí hrudného segmentu sú typické bolesti srdca alebo hrudníka, bolesti hlavy, opuch tváre a hornej polovice tela.
Chronická postinfarktová aneuryzma vzniká dlhotrvajúcou akútnou aneuryzmou. Celkový stav pacienta je neuspokojivý, v predsieni dochádza k stagnácii krvi, zvyšuje sa pľúcny a arteriálny tlak, trpí malý obeh krvi. Typická je tupá bolesť srdca, ktorá sa zosilňuje počas fyzickej aktivity a neutícha analgetikami a nitroglycerínom. Lokalizácia bolesti: za hrudnou kosťou, s rozšírením na prednú plochu hrudníka.
Chronická aneuryzma srdca s trombom v stene sa prejavuje narastajúcou slabosťou, zvýšeným potením, častým palpitáciou, subfebrilom. V krvi sa nachádza neutrofilná leukocytóza a zrýchlená sedimentácia.
Chronické aneuryzmy môžu byť difúzne (sploštené), vakovité alebo hubovité, čo sa týka konfigurácie a rozsahu lézie. Poškodenie srdca môže nastať ako „aneuryzma v aneuryzme“: existuje niekoľko dilatácií, ktoré sú uzavreté v sebe.
Komplikácie
Chronická aneuryzma aorty môže byť komplikovaná ruptúrou patologickej dilatácie s následným rozvojom masívneho krvácania, kolapsu, šoku, akútneho infarktu myokardu. Ruptúra smeruje do systému hornej dutej žily, dutín perikardu alebo pohrudnice, pažerákovej trubice, brušnej dutiny.
Po oddelení trombu od aneuryzmatickej steny sa vyvíja akútna oklúzia periférnych ciev. Nohy pacienta zmodrajú a stanú sa prudko bolestivými. Ak sú renálne artérie trombózované, dochádza k prudkému zvýšeniu krvného tlaku a objavujú sa príznaky zlyhania obličiek.
Chronická aneuryzma srdca môže byť komplikovaná fibrinóznou perikarditídou a vznikom adhézií. Ak sa vytvorí tromboembólia, dochádza k akútnej periférnej vaskulárnej oklúzii: postihnutý je brachiálny kmeň, mozgové a renálne artérie, pľúcne a črevné cievy.
Diagnostika
Po zhromaždení sťažností a anamnestických informácií, ako aj po dôkladnom vyšetrení môže lekár predpokladať, že pacient má chronickú aneuryzmu. Testy zahŕňajú stanovenie hladiny kreatinínu v krvi s výpočtom klírensu kreatinínu a CKF, celkového hemoglobínu, hematokritu a počtu krvných doštičiek a červených krviniek. Nízky celkový hemoglobín, počet krvných doštičiek a červených krviniek naznačuje zvýšené riziko krvácania a zvýšený počet krvných doštičiek je spojený s rizikom trombózy.
Inštrumentálna diagnostika chronickej srdcovej aneuryzmy zahŕňa predovšetkým EKG: zaznamenávajú sa prejavy infarktu myokardu. Počas echoCG sa vizualizuje dutina aneuryzmy, dá sa posúdiť jej veľkosť, tvar a zistiť prítomnosť krvných zrazenín. Röntgen hrudníka pomáha odhaliť preťaženie malého obehového systému, príznaky kardiomegálie. Okrem toho je možné použiť röntgenovú kontrastnú ventrikulografiu, magnetickú rezonanciu a multispirálnu počítačovú tomografiu.
Liečba
Odborníci doteraz dôrazne odporúčajú chirurgickú liečbu chronických aneuryziem. Súčasne sa terapeutická taktika určuje po vykonaní celého diagnostického komplexu, určení veľkosti patologickej dilatácie a prítomnosti komplikácií (insuficiencia chlopne, disekcia, kompresia blízkych orgánov atď.).
Možná konzervatívna liečba môže spočívať v kontrole indexov krvného tlaku, znižovaní hladiny cholesterolu v krvi, monitorovaní dynamiky cievnymi chirurgmi. Ak sa patologické rozšírenie rýchlo zvyšuje, existuje riziko prasknutia, lekár dôrazne odporučí chirurgickú liečbu, ktorej podstatou je odstránenie problematického segmentu tepny a inštalácia syntetického implantátu namiesto neho. Tradičný alebo endovaskulárny zákrok je možný.
Pokiaľ ide o srdcové aneuryzmy, v tejto situácii sa dôrazne odporúča chirurgický zákrok. V súčasnosti neexistuje jediný prístup k najúčinnejšiemu typu chirurgického zákroku pri patológii komôr. V predoperačnom štádiu chirurg vypočíta prípustnú plochu odpojenia dilatovanej oblasti. Počas predoperačného modelovania postihnutej komory sa odhadovaná plocha odpojenia určí na základe výsledkov echokardiografie.
Ak ide o zistenú, ale potenciálne nie nebezpečnú chronickú aneuryzmu periférnych artérií alebo aorty, pacientovi sa ponúkne plánovaná operácia alebo sa zavedie dynamické monitorovanie problematickej cievy.
Okrem toho, ak sa objavia podozrivé príznaky patológie, nepokúšajte sa o samoliečbu ľudovými prostriedkami alebo voľnopredajnými liekmi. Chronická aneuryzma môže viesť k náhlej smrti pacienta takmer kedykoľvek. Patológia je tiež nebezpečná v tom, že často prebieha bez výrazných klinických príznakov až do vzniku komplikácií. Pacienti sa len niekedy sťažujú na bolesť, pocit tiaže v oblasti patologického rozšírenia ciev.
Možné sú rôzne lokalizácie chronickej patológie - od tepien mozgu a periférnych ciev až po aortu a srdce. Chronická aneuryzma je život ohrozujúce ochorenie.
Tabuľka: Prehľad anomálií sleziny
| Anomália | Popis | Diagnostika | Liečba |
|---|---|---|---|
| Polysplénia | Vrodená srdcová chyba, situs viscerum inversus a viaclaločnatá slezina | Zobrazovacie metódy, klinické vyšetrenie | Konzervatívna, chirurgická (v prípade komplikácií) |
| Akcesórna slezina | Uzly tkaniva sleziny mimo hlavnej sleziny | Zobrazovacie metódy | Odstránenie pri splenektómii |
| Benígne tumory | Neškodné nádory sleziny | Zobrazovacie metódy, biopsia | Parciálna splenektómia |
| Parazitárne cysty | Cysty spôsobené parazitmi (napr. Echinococcus) | Serologické vyšetrenie, zobrazovacie metódy | Enukleácia cysty |
| Blúdivá slezina | Slezina uložená mimo svojej normálnej polohy | Klinické vyšetrenie, zobrazovacie metódy | Chirurgická fixácia |
| Splenomegália | Zväčšenie sleziny | Klinické vyšetrenie, zobrazovacie metódy, krvné testy | Liečba základného ochorenia |
| Absces sleziny | Hnisavý zápal sleziny | Zobrazovacie metódy, krvné testy | Antibiotiká, drenáž abscesu |
| Malígne nádory | Rakovina sleziny | Zobrazovacie metódy, biopsia | Chirurgická liečba, chemoterapia, rádioterapia |
| Chronická aneuryzma | Vydutie steny cievy alebo srdca | EKG, echoCG, RTG, MRI, CT | Chirurgická liečba, konzervatívna liečba |
Embolizácia aneuryzmy slezinovej artérie (MUDr. Alan Lumsden)
tags: #post #traumaticke #pseudoaneuryzmy #slezina